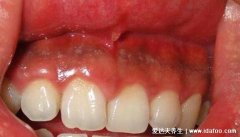
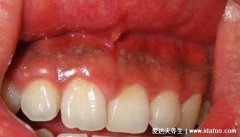
牙龈癌的早期三大症状,注意病程极长口腔溃疡/牙齿松动/张口困难
牙龈癌的发病是仅次于舌癌的,它的发病是很高的,对于自己口腔出现鹅蛋异常情况,也是要引起注意的,关于牙龈癌的早期三大症状,大家是可以进行了解的,它是会有一些症状的,具体在诊断要由医生进行。
牙龈癌的早期三大症状

1、口腔溃疡
如果大家目前是有口腔溃疡的情况的话,是要引起注意的,特别是这个溃疡长时间不治愈,反复发作并且病程较长的情况,因为牙龈癌是可以让人出现反复的口腔溃疡的,而且是可以将时间持续到6个月左右的时间,这是要在注意的。大家可以注意这溃疡的边缘是会凸起的,在它的中心部是凹陷的,牙龈上出现溃疡状、结节状等的肿块。进一步发展可以出现牙齿松动。
2、牙齿松动
牙齿松动也是牙龈癌患者会出现的一种可能情况,因为这个肿瘤是入侵牙周膜牙牙槽骨引起牙松,而且也是会对牙周膜以牙周神经造成破坏和影响,也是会引起牙痛的症状的。
3、张口困难
对于牙龈癌来说,如果出现了牙齿松动或者疼痛的情况,并且后续发展的话,也是会影响附近的组织,对于我们正常的进食是有影响的,而且自己的张口也是会受到阻碍的,而且也是要注意出血和臭味的发生的。
对于牙龈癌的早期三大症状,大家是可以了解的,但是具体的诊断是由医生帮你看看,对于牙龈癌的症状,注意肿块是会有出血,以及后续等是会有局部淋巴结肿大疼痛等的。
早期牙龈炎图片及症状

很多牙齿疾病都会出现这种症状,一般有满性牙龈炎的患者刷牙或者咬硬物的时候会有出血症状,一般不会有没有原因的出血情况,有的患者会伴随牙龈局部痒、肿胀、口臭等......
本文由网上采集发布,不代表我们立场,转载联系作者并注明出处:http://www.qqmcw.cn/baike/3796.html
